متاستاز مغز (Brain Metastasis) یکی از جدیترین عوارض انواع سرطانهای پیشرفته است. متاستاز به معنای گسترش سرطان از یک عضو یا بخش بدن به بخش دیگری است. متاستاز مغز به حالتی اطلاق میشود که سلولهای سرطانی از سایر اندامها، مانند ریه، سینه یا کلیه، به مغز مهاجرت کرده و در آنجا تکثیر میشوند. این نوع سرطان میتواند باعث بروز علائم پیچیدهای در عملکرد مغز شود و نیازمند درمانهای تخصصی و پیشرفته است. متاستازهای مغزی در مقایسه با سرطان اولیه مغز بسیار شایعتر هستند و اغلب در مراحل پیشرفتهتر سرطانها رخ میدهند.
علل بروز متاستاز مغز
متاستاز مغز به دلایل مختلفی ممکن است رخ دهد. وقتی سلولهای سرطانی از طریق جریان خون یا سیستم لنفاوی به مغز مهاجرت میکنند، تومورهایی در مغز تشکیل میشود. سلولهای سرطانی که به مغز مهاجرت میکنند، معمولاً از تومورهای اولیه در اندامهای دیگر مانند ریه، سینه، کلیه، یا ملانوم ناشی میشوند.
از جمله عواملی که میتواند خطر متاستاز مغز را افزایش دهد عبارتاند از:
-
سرطانهای پیشرفته
سرطانهای که به مراحل پیشرفته میرسند، احتمال بیشتری برای ایجاد متاستاز به مغز دارند. انواع خاصی از سرطانها مانند سرطان ریه و سرطان پستان بهویژه مستعد متاستاز به مغز هستند.
-
نژاد و سن
تحقیقات نشان داده است که برخی از نژادها و سنین بیشتر در معرض خطر متاستاز مغزی قرار دارند. افراد مسن بیشتر از جوانان در معرض این عارضه قرار میگیرند.
-
سیستم ایمنی ضعیف
در برخی از افراد که سیستم ایمنی ضعیفتری دارند، احتمال گسترش سرطان به مغز بیشتر است. این وضعیت ممکن است به دلیل ابتلا به بیماریهای مزمن یا ضعف سیستم ایمنی بدن به دلیل شیمیدرمانی باشد.
علائم متاستاز مغز
علائم متاستاز مغز ممکن است بسته به اندازه و موقعیت تومورهای سرطانی متفاوت باشد. برخی از شایعترین علائم متاستاز مغزی عبارتاند از:
-
سردرد شدید
سردردهای مزمن و شدید یکی از شایعترین علائم متاستاز مغز است. این سردردها معمولاً در اثر فشار تومورها بر روی بافتهای مغزی ایجاد میشوند و ممکن است با افزایش زمان بدتر شوند.
-
تشویش و گیجی
افراد مبتلا به متاستاز مغزی ممکن است دچار گیجی، از دست دادن حافظه یا مشکلات شناختی شوند. این علائم ممکن است بهتدریج و با پیشرفت تومور بدتر شوند.
-
تشنج
یکی از علائم خطرناک متاستاز مغزی تشنج است. تومورهای مغزی میتوانند فعالیتهای الکتریکی مغز را تحت تأثیر قرار دهند و منجر به تشنجهای شدید شوند.
-
از دست دادن کنترل حرکتی
برخی از بیماران ممکن است دچار مشکلات حرکتی شوند، از جمله از دست دادن کنترل عضلات، ضعف در اندامها یا عدم تعادل.
-
تغییرات دیداری
تومورهای متاستاز مغزی ممکن است به عصبهای بینایی فشار آورده و باعث تغییرات در دید یا از دست دادن بینایی شوند.
-
تغییرات روانی
برخی از بیماران ممکن است تغییرات شدید در شخصیت یا رفتار تجربه کنند که میتواند نشانهای از فشار تومورهای مغزی باشد.

تشخیص متاستاز مغز
تشخیص متاستاز مغزی نیازمند مجموعهای از آزمایشها و معاینات دقیق است. پزشکان ابتدا با بررسی تاریخچه پزشکی بیمار و علائم مشاهدهشده، احتمال وجود متاستاز مغزی را ارزیابی میکنند. سپس از روشهای زیر برای تشخیص قطعی استفاده میشود:
-
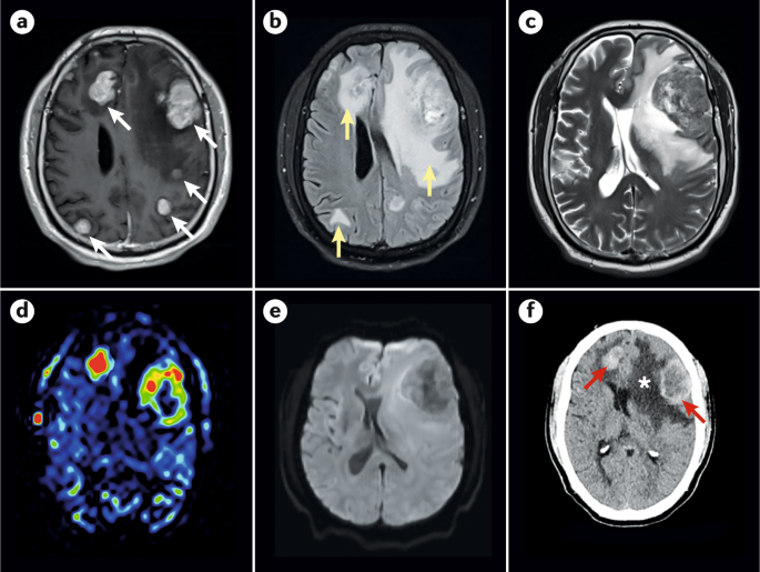
تصویربرداری مغزی
از مهمترین ابزارهای تشخیص متاستاز مغزی، تصویربرداریهای مغزی مانند MRI و CT اسکن است. این تصاویر به پزشکان کمک میکنند تا وجود تومورها در مغز را شناسایی کرده و اندازه و موقعیت آنها را بررسی کنند.
-
پت اسکن (PET Scan)
پت اسکن یکی دیگر از روشهای تصویربرداری است که به پزشکان کمک میکند تا فعالیت متابولیکی سلولها را در بدن بررسی کنند و محل متاستازهای احتمالی را شناسایی کنند.
-
بیوپسی
در برخی موارد، برای تأیید تشخیص، از بیوپسی یا نمونهبرداری از تومور استفاده میشود. این روش به پزشکان امکان میدهد تا سلولهای سرطانی را از نزدیک بررسی کنند و نوع آنها را تعیین کنند.
-
آزمایشهای خونی
آزمایشهای خونی نیز ممکن است برای بررسی وضعیت عمومی بدن و بررسی نشانگرهای سرطانی انجام شود. این آزمایشها به ارزیابی میزان گسترش سرطان کمک میکنند.
درمان متاستاز مغز
درمان متاستاز مغز بستگی به عوامل مختلفی دارد، از جمله اندازه و تعداد تومورها، محل آنها و وضعیت عمومی بیمار. درمانهای رایج برای متاستاز مغز شامل جراحی، پرتودرمانی و شیمیدرمانی است.
-
جراحی
در مواردی که تعداد تومورها کم و محل آنها قابل دسترسی باشد، جراحی برای برداشتن تومورها انجام میشود. این روش معمولاً برای بیمارانی که تومورهای بزرگی دارند یا دچار فشار مغزی شدید هستند، استفاده میشود.
-
پرتودرمانی
پرتودرمانی یکی از روشهای اصلی درمان متاستاز مغزی است. این روش از پرتوهای قوی برای از بین بردن سلولهای سرطانی استفاده میکند. پرتودرمانی ممکن است به صورت پرتودرمانی کامل مغز یا پرتودرمانی متمرکز انجام شود.
-
شیمیدرمانی
شیمیدرمانی معمولاً برای متاستازهای مغزی استفاده نمیشود، زیرا داروهای شیمیدرمانی بهطور کامل نمیتوانند به مغز نفوذ کنند. با این حال، در برخی موارد خاص، شیمیدرمانی ممکن است به عنوان یک گزینه درمانی مورد استفاده قرار گیرد.
-
درمانهای هدفمند و ایمونوتراپی
درمانهای هدفمند و ایمونوتراپی در سالهای اخیر بهعنوان گزینههای جدید درمانی برای برخی از انواع متاستازهای مغزی معرفی شدهاند. این روشها با تقویت سیستم ایمنی بدن به شناسایی و از بین بردن سلولهای سرطانی کمک میکنند.
معرفی بهترین پزشکان متخصص آنکولوژی و سرطان تهران برای درمان متاستاز مغز
-
دکتر محمد امیر سرابی
دکتر محمد امیر سرابی، فوق تخصص خون و سرطان بالغین، با اتکا بر دانش و تجربه گسترده خود در درمان سرطانهای پیشرفته مانند متاستاز مغز، به بیماران کمک میکنند. ایشان با بررسی دقیق وضعیت بیمار و ارائه بهترین راهکارهای درمانی، به بهبود وضعیت بیمار کمک میکنند.

آدرس: تهران، خیابان انقلاب، خیابان ابوریحان، تقاطع شهدای ژاندارمری، شماره ۲۸
تلفن: 02191008808
آدرس دوم: انتهای بلوار کشاورز، روبروی درب شرقی بیمارستان امام خمینی، تقاطع خیابان قریب، پلاک ۱۱۳، طبقه ۵
تلفن: 09351181737
-
دکتر صمد خضری
دکتر صمد خضری، فلوشیپ جراحی سرطان، با بهرهگیری از دانش تخصصی خود در جراحی تومورهای سرطانی، به درمان متاستاز مغز میپردازند. ایشان با استفاده از روشهای پیشرفته جراحی و معاینات دقیق، به بهبود بیماران خود کمک میکنند.

آدرس: تهران، سعادتآباد، میدان کاج، ابتدای سرو شرقی، مجتمع سعادت، طبقه 2، واحد 14
تلفن: 02122083642
-
دکتر امید رضایی
دکتر امید رضایی، فوق تخصص خون و سرطان، با توجه به تجربه گسترده خود در زمینه درمان متاستازهای مغزی و بهرهگیری از جدیدترین روشهای درمانی، به بیماران خود خدمات تخصصی ارائه میدهند.

آدرس: تهران، سیدخندان، کوچه خندان، پلاک هشت آدرس دوم: بیمارستان جم، خیابان مطهری، خیابان فجر
تلفن: 02122843283
-
دکتر الهام ظرافت فرد
دکتر الهام ظرافت فرد، فوق تخصص مدیکال آنکولوژی و پیوند مغز استخوان، با تکیه بر دانش روز و تجربه کافی در درمان سرطانها بهویژه متاستاز مغزی، به بیماران خود خدمات درمانی ارائه میدهند.

آدرس: تهران، خیابان ولیعصر، بالاتر از میدان ونک، خیابان والینژاد، روبهروی اورژانس بیمارستان هاشمینژاد، نبش کوچه تلاش، پلاک 3، طبقه 4، واحد 11
تلفن: 09354585702
-
دکتر معصومه صابریان
دکتر معصومه صابریان، فوق تخصص خون و سرطان، با استفاده از دانش و تجربه خود در درمان متاستاز مغزی، به بیماران خود خدمات پزشکی پیشرفته ارائه میدهند. ایشان با بررسی دقیق وضعیت بیمار و استفاده از بهترین روشهای درمانی، به بهبود بیماران کمک میکنند.

آدرس: تهران، خیابان ولیعصر، بالاتر از پارک ملت، ایستگاه خبرنگاران، برج جم، طبقه اول، واحد 4
تلفن: 02122014532
تلفن همراه: 09386921414
-
دکتر رضا آقابزرگی
دکتر رضا آقابزرگی، فوق تخصص خون و انکولوژی بالغین، با بهرهگیری از تجربه و دانش خود در زمینه درمان متاستاز مغزی، به بیماران خود خدمات درمانی دقیق و تخصصی ارائه میدهند.

آدرس: تهران، بلوار فردوس شرق، ابتدا خیابان عقیل، پلاک 5، واحد 10
تلفن: 02144059972 تلفن دوم: 02144061058
-
دکتر وحید کاوه
دکتر وحید کاوه، فوق تخصص خون و سرطان بزرگسالان، با استفاده از دانش و تجربه فراوان خود در درمان متاستاز مغزی، به بیماران خود خدمات تخصصی ارائه میدهند. ایشان با بررسی دقیق شرایط بیمار و ارائه روشهای پیشرفته درمانی، به بهبود وضعیت بیماران کمک میکنند.

آدرس: تهران، شهرک غرب، خیابان ایران زمین، خیابان گلستان جنوبی، جنب بانک پارسیان، ساختمان زمرد، طبقه اول، واحد 4
تلفن: 09398900430
-
دکتر حامد کیان
دکتر حامد کیان، فوق تخصص انکولوژی و سرطان، با بهرهگیری از تجربه و دانش فراوان خود در زمینه درمان متاستاز مغزی، به بیماران خود خدمات پزشکی حرفهای و کامل ارائه میدهند.

آدرس: تهران، خیابان پیروزی، بین خیابان سوم و چهارم نیروی هوایی، روبروی خیابان کریمشاهیان، پلاک 99، ساختمان پزشکان نیکان، طبقه 3، واحد 6
تلفن: 02177150009
تلفن همراه: 09351407901
-
دکتر علی فریدفر
دکتر علی فریدفر، فوق تخصص خون و سرطان بالغین، با تکیه بر تجربه و دانش خود در زمینه درمان متاستاز مغزی، به بیماران خود خدمات درمانی کامل و دقیق ارائه میدهند.

آدرس: تهران، تقاطع خیابان آزادی و اسکندری، پلاک 149، مرکز جامع سلامت نگین آزادی
تلفن: 02162756504 تلفن دوم: 02162756508
-
دکتر راحله سادات توکلی طبا
دکتر راحله سادات توکلی طبا، فوق تخصص خون و سرطان شناسی بالغین، با استفاده از دانش و تجربه خود در درمان متاستاز مغزی، به بیماران خود خدمات پزشکی پیشرفته و دقیق ارائه میدهند.

آدرس: تهران، فلکه دوم صادقیه، بلوار فردوس شرق، نبش خیابان عقیل، پلاک 5، واحد 6
تلفن: 02144098224 تلفن همراه: 09004409824
نتیجهگیری
متاستاز مغز یکی از عوارض جدی سرطانهای پیشرفته است که نیازمند تشخیص و درمان بهموقع توسط پزشکان متخصص است. مراجعه به پزشکان آنکولوژی با تجربه و حرفهای میتواند نقش بسیار مهمی در بهبود شرایط بیمار و افزایش شانس موفقیت درمان داشته باشد. در این مقاله، تعدادی از بهترین پزشکان متخصص آنکولوژی و سرطان در تهران معرفی شدند که با دانش و تجربه گسترده خود، به بیماران مبتلا به متاستاز مغزی خدمات درمانی پیشرفته و حرفهای ارائه میدهند.